
optic neuropathy and macular edema
Submitted by: Lindsey Hatton, OD
CASE SUMMARY
A 61-year-old male presented for blurry vision OS. The patient reported that he awoke and could not see out of his left eye. He did not wear glasses at the time, except for reading glasses.
OUR PROCESS
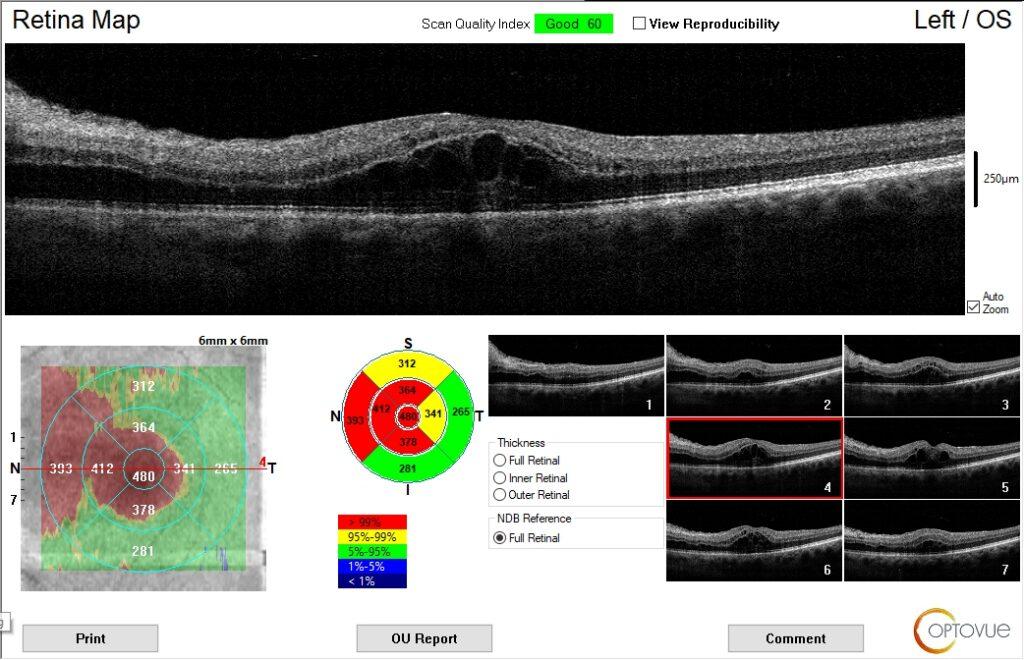
The patient’s entering acuity was 20/20 OD and 20/200 OS. Patient had an APD OS. Fundus examination revealed a few hemorrhages OU due to the patient’s diabetes, optic nerve edema, and macular edema OS. An Optomap fundus photo was taken along with an OCT of the optic nerves and macula.
TREATMENT
Due to the optic nerve edema and the patient’s history of hypertension, the patient was referred to the emergency department for bloodwork to rule out any systemic issues, such as a stroke. The emergency department ruled out any additional ischemic events and referred the patient to Neuro-ophthalmology for evaluation.
CONCLUSION
The patient returned 1 month later. The optic neuropathy and macular edema had resolved. The patient was fitted with new glasses, and acuity was corrected to 20/20 in both eyes. The patient is being managed with ophthalmology and primary care.
DON’T IGNORE CHANGES IN YOUR VISION
Eye conditions can develop quietly, but early detection can make a significant difference in preserving your sight. If you’ve noticed changes in your vision, or it’s simply time for a comprehensive eye exam, our team is here to help.




